Face-to-Face Veneers Consultation
Free Digital Smile Design
10 Years Warranty
Personalised Treatment Plans
Affordable Payment Plans From $52 / Week*
FREE CONSULTATION [Usually $80]
* T & C Apply

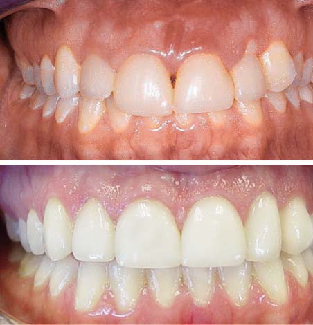
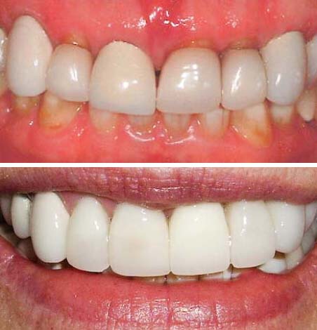
Welcome to our dental veneers service, where we specialise in creating beautiful and transformative smiles. Dental veneers are thin, custom-made shells that are bonded to the front surface of teeth, enhancing their appearance and improving overall smile aesthetics. Our skilled team of dental professionals is committed to providing you with top-quality veneer solutions that can help you achieve the smile of your dreams. We are dedicated to providing you with exceptional care, outstanding results, and a comfortable dental experience. Let us help you achieve the smile you've always wanted with our expertly crafted dental veneers.
PROMOTIONS FOR PORCELAIN VENEERS
Exceptional and quality dental care in a friendly, relaxed and caring atmosphere with a personalized touch
Experience top-notch care and expertise from our skilled team dedicated to your oral health and smile transformation
Offer a seamless and enjoyable dental journey with advanced technology and techniques

Repairing teeth that are broken or damaged from trauma or accidents
Cosmetically realigning teeth that are overlapped or rotated
Cosmetically closing small spaces or gaps between teeth
Changing the colour of teeth heavily stained from coffee or smoking
Restoring teeth that are cracked, chipped or unevenly worn



We are too. That’s why we accept all private health funds and offer flexible finance options. Let’s work together to get your teeth and smile looking like you’d love them.











89 Cecil Ave Castle Hill NSW 2154
Monday to Friday: 9 am to 6 pm
Saturday: 9 am to 4 pm
DISCLAIMER - Any surgical or invasive procedure carries risks. Before proceeding, you should seek a second opinion from an appropriately qualified health practitioner.
2023 © Copyright. All Cosmetic Dental. All Rights Reserved.